El Dr. Rodrigo Jiménez Corrales, es especialista en Prostodoncia. Se graduó de la Universidad de Costa Rica en 1989 y del posgrado en Prostodoncia de la Universidad Estatal de Luisiana (LSU) en el año 1995. Durante sus estudios en Nueva Orleans, el Dr. Jiménez fue discípulo del Dr. Gerard Chiche, considerado uno de los mejores académicos y clínicos a nivel mundial en el área de la Odontología Estética.
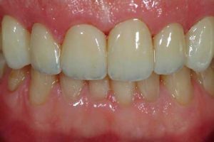
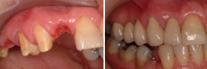
El Dr. Jiménez ha formado parte del Grupo Gil Dental desde 1996 cuando regresó de los Estados Unidos. Es un respetado experto en el área de la odontología cosmética en Costa Rica y tiene más de 20 años de experiencia en tratamientos restaurativos como carillas de porcelana, coronas y restauraciones sobre implantes dentales.
Además de una práctica exitosa, el Dr. Jiménez ha sido profesor de Prostodoncia en la Facultad de Odontología de la Universidad de Costa Rica desde 1995. Ha sido conferencista a nivel nacional e internacional y es miembro de la Academia Costarricense de Prostodoncia.
También es miembro de la prestigiosa Academia Pierre Fauchard. Además, el Dr. Jiménez ha escrito artículos en revistas dentales internacionales muy respetadas.
El talento artístico del Dr. Jiménez no solo se refleja en las sonrisas que crea pero también en las artes. El Dr. Jiménez ha tenido formación artística en la escuela de Bellas Artes de la Universidad de Costa Rica y ha participado de exposiciones de dibujo.
